A dental implant was used to replace a missing incisor tooth. This case goes to show how natural the final result can be.
Read MoreA dental implant was used here to replace a damaged central tooth. The patient was delighted with the final result as it blended…
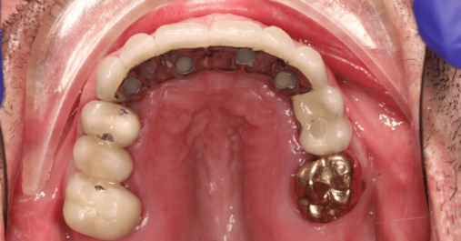
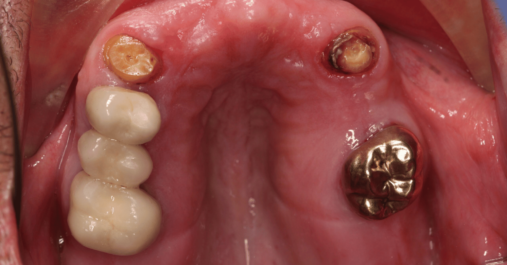
Read MoreAn implant bridge was provided for this patient so that he could do away with his denture. He described this as a life-changing…
Read More
